Antes y después

Haz clic y arrastra las flechas a la derecha o a la izquierda para descubrir las transformaciones de la sonrisa.

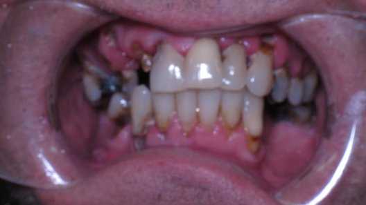
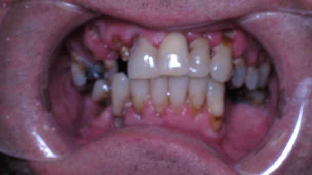
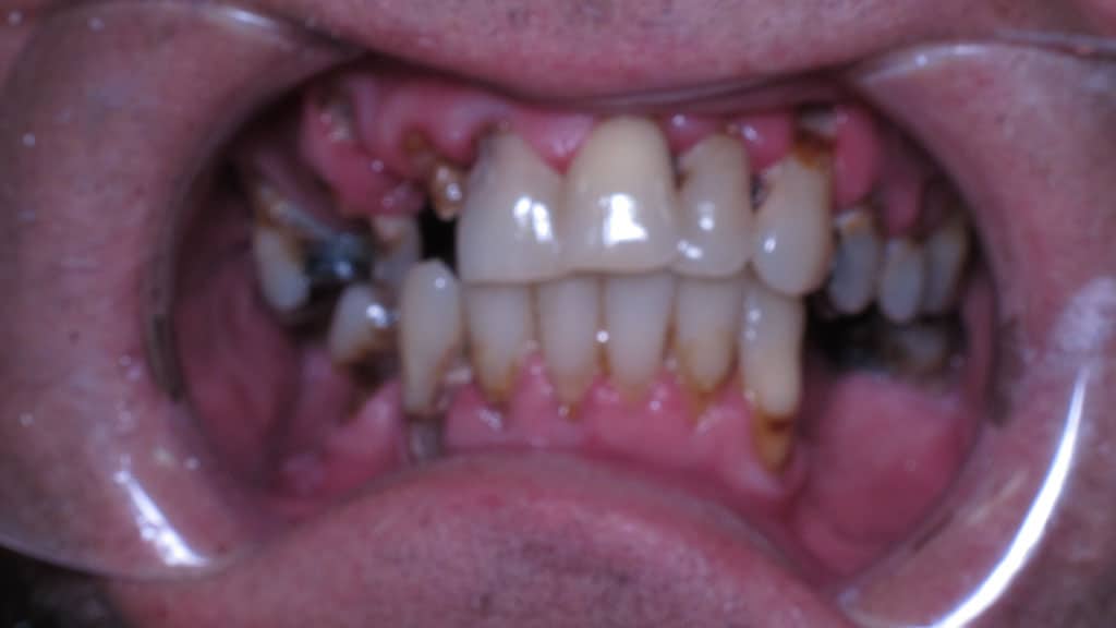
Reconstrucción bucal completa

El paciente presentaba pérdida severa de dientes, caries y deterioro visible de restauraciones anteriores. Tras el tratamiento, sus dientes están ahora estructuralmente reforzados, contorneados de forma natural y en armonía estética con sus rasgos faciales. ¡Observe lo cómoda y maravillosamente que cambiaron las cosas el mismo día!

Reconstrucción bucal completa

Los implantes dentales sustituyen los dientes poco sanos en seis visitas durante un periodo de seis meses. Para los dientes que duelen, son feos e interfieren con la alimentación, opte por esta solución.

Hermosa sonrisa

Este paciente sufrió graves daños dentales debido al ácido, pero todos los dientes pudieron salvarse mediante el uso de coronas.

Sustitución de dientes

Esta hermosa sonrisa de aspecto natural fue creada mediante el uso de implantes dentales para una sonrisa fabulosa.

¿Qué corona es un implante?

Si no te gusta tu sonrisa y vas a perder un diente frontal, ¡mira lo que podemos hacer!

Me encanta mi sonrisa

¿No es increíble lo que podemos hacer por tu sonrisa?

Sustitución de dientes

La sustitución de dientes puede mejorar drásticamente su sonrisa. Fíjese en la diferencia.

Dientes delanteros rotos

Dientes delanteros rotos como estos pueden volver a estar bonitos, ¡pregúntenos!

Diente roto

Si su diente está roto y puede salvar las piezas, a veces es posible restaurar el diente. Echa un vistazo a la increíble sonrisa que tiene esta paciente después de que pudiéramos volver a unir las piezas de su diente roto.

Prótesis e implantes

¿Qué ocurre cuando rechinas los dientes? La estructura dental puede resultar gravemente dañada con el rechinamiento crónico de los dientes, pero podemos ayudarle con prótesis dentales e implantes.

Alivio del dolor

El alivio del dolor puede cambiar la vida. La sonrisa de este paciente no sólo tiene mejor aspecto, sino que también se siente mejor.

Caso Invisalign

El tratamiento Invisalign puede ser una forma sutil y sencilla de alinear sus dientes y darle la confianza necesaria para sonreír con amplitud.